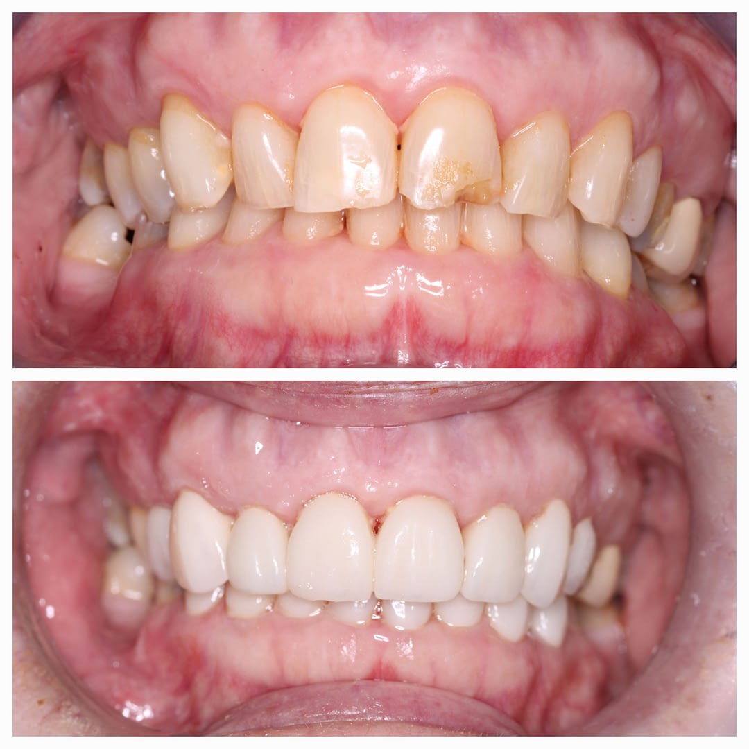
This patient felt very self-conscious about her teeth and used to hide her smile in photos. She had also lost her upper partial denture.
Treatment included:
Now she’s smiling confidently again, happy, comfortable, and photo-ready!

This patient chose 16 minimal-prep E.max veneers to achieve a brighter, more even smile — with a natural, long-lasting result.
