When you have an examination with us, we’ll provide a thorough examination of your mouth including an oral cancer screening advice on your diet, smoking and alcohol use, as well as oral health advice. Sometimes, we may recommend a hygienist visit or some dental x-rays to check beneath the surface to where your dentist cannot see.
We will listen to your concerns and advise you on treatment options. We will provide you with a treatment plan if necessary
Sometimes a filling is necessary to repair cavities or broken and decaying teeth. There are a variety of materials available to use for fillings. We use a tooth coloured material because they are less noticeable in your mouth. Using a filling prevents the tooth from further decay and possible infection and extraction and restores normal structure and function.
We all wish our teeth would last our lifetime sadly when a tooth becomes heavily broken, damaged or decayed beyond repair a tooth removal may be necessary we’ll do everything that we can to make this a stress-free and comfortable experience for you.
We understand that losing a tooth and being left with an unsightly gap can be stressful we will discuss with you different options available to replace any extracted teeth quickly, sometimes the same day. These will be worn temporarily during the healing process which is usually 3 months. Thereafter more permanent options such as implants, dentures or bridges can be discussed further
The aim of this treatment is to remove all infections from within the root canal. Within this procedure the root is cleaned and filled to prevent any further infection. Root canal treatment is a skilled and time-consuming procedure. At the first appointment, the infected pulp is removed and any abscesses can be drained. The root canal is then cleaned and shaped ready for the filling. A temporary filling is put in and the tooth is left to settle. The tooth is checked at a later visit when all infections have been cleared, the tooth is then permanently filled or sometimes covered with a crown.
Text here


Sometimes using a filling material to restore the structure of a broken or decayed tooth may not be enough to fix it. When this happens we will use a crown which is made at the laboratory the crown will completely cover the tooth restoring its function, We use ceramic crowns for superior aesthetic properties, they look very natural as they absorb and reflect light like a natural tooth, giving you confidence to smile again
A dental bridge is a fixed device that can replace one or more of your natural missing teeth Unlike removable partial dentures, fixed bridges cannot be taken out of the mouth and are fixed in the same way as crowns. They are made by crowning the teeth on either side of the gap and attaching a false tooth in the middle. These bridges are usually made of precious metal bonded to porcelain or sometimes just porcelain.
Sometimes a cavity may be too large to repair using a filling but a crown may not be necessary. An Inlay is made by the laboratory and fits inside of the cavity providing additional support to the tooth. They can be tooth coloured so providing a natural look.
Dental implants are the new standard of care for tooth replacement. They are secured into the bone to provide long term support for crowns and dentures.
Why consider dental implants
Losing one or more of your teeth have has a number of harmful effects:
Not only does losing a tooth affect your smile, it also changes the shape of your face causing you to look prematurely aged.


Composite bonding or cosmetic bonding is a treatment where your dentist adds a special coloured resin to your teeth to improve their appearance. There is no permanent alteration to the natural tooth structure, as no drilling is necessary.
Composite bonding can help to improve the appearance of slightly crooked teeth. By adding some composite resin in strategic places, your dentist can hide or mask teeth that have minor misalignment improving the appearance of your smile.
Composite bonding is a very good option for closing small gaps between teeth. Either for a single gap or multiple small gaps between all the teeth, you can achieve amazing results with bonding. Your dentist places the composite resin on the teeth, closing the gaps between them or making them more discrete if it is not possible to close them completely.
Differences between Composite Bonding and Veneers
Composite bonding is non-invasive and no permanent damage is done to the teeth, whereas Veneers are irreversible as the tooth needs to be drilled. Composite bonding offers immediate results, Veneers need at least 2 appointments to complete. Composite bonding is not as strong as porcelain Veneers and can pick up stains.
Veneers are thin shells of porcelain that are bonded to the front of your teeth. They are an ideal way of treating discoloured or unsightly teeth, closing gaps between front teeth, or repairing chips and cracks. They require minimal reduction of your natural tooth so sometimes don’t require a local anesthetic. Veneers are also used to achieve a brighter smile than a tooth whitening system could give.
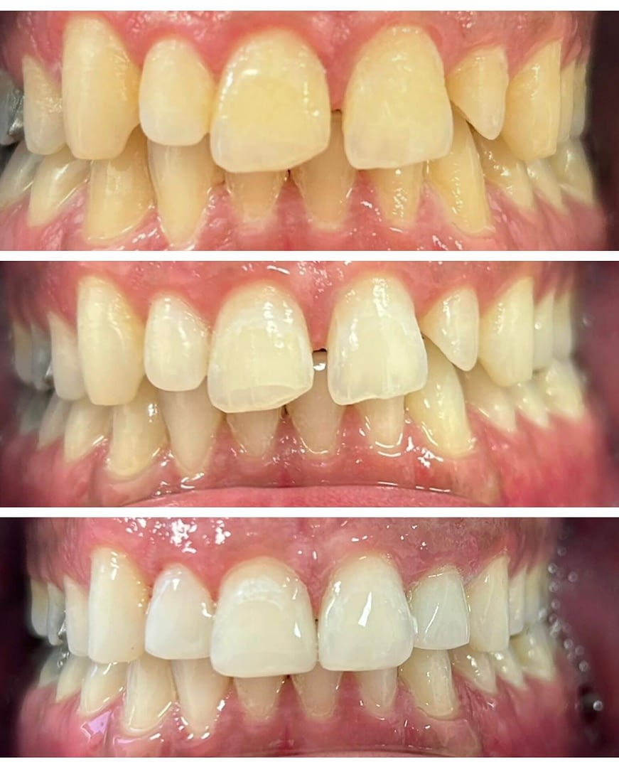
Boutique Whitening is a premium quality whitening gel that delivers superior results, with a noticeable improvement in just a few days. Boutique Whitening has been designed to fit in with your lifestyle. Now you can whiten your teeth, your way.
You can opt for Boutique By Day, which works with only 1 hour wear time per day. Alternatively, you can choose Boutique By Night and whiten your teeth as you sleep.
There are a number of key features that make Boutique Whitening the number one choice for many dentists and patients:



Your confidence. Your outlook. Your life. And with Invisalign, achieving the smile you always dreamed of doesn’t have to be a big deal. In fact, it barely has to impact your day-to-day life at all.
Invisalign straightens teeth using a series of nearly invisible, removable aligners that are custom-made specifically for your teeth. As you replace each aligner every two weeks, your teeth will move – little by little, week by week, gradually moving towards the projected final position.
Comfortable, clear and removable – Invisalign transforms your smile without disrupting your life. Something that over 3 million people worldwide have already discovered.
Are you ready for your new smile?
Clear aligners:your new smile, built by experts
Transform your smile with nearly invisible clear aligners that gently guide your teeth into place.
At Hywel Samuel Golate Dental Cardiff expert-led care ensures
the best results for a confident, natural look.
![]()
Clear aligners are thin, nearly invisible trays that fit over your teeth, gradually shifting them into place using gentle, consistent pressure.
Designed with advanced technology and expert orthodontic planning, they offer a seamless way to achieve a straighter smile without brackets or wires.
Comfortable. Removable. Nearly invisible. Clear aligners fit seamlessly into your life—no disruptions, no compromises. Eat what you love, brush and floss as usual, and straighten your teeth without anyone noticing. It’s that simple.
Proud partner
World-class treatment,
by the best in the field
We partner with 32Co, the only brand where treatment plans are co-created with the UK’s top orthodontists. With our expert dentists that means we ensure the highest quality, precision, and care for you.
Visit 32Co



Snoring is the noise resulting from a partial closure of the airway during sleep. It is estimated that over 45% of the population snores, leading to disrupted sleep for the sufferer–and their bedpartner. Ranging from 50-100 decibels, the equivalent of a pneumatic drill, snoring can lead to relationship issues, daytime sleepiness, increased stress and depression if left untreated.
Less often, snoring can also take place as part of a more serious condition, obstructive sleep apnoea (OSA), which is potentially life-threatening. Patients suffering from snoring often go untreated, as they are too embarrassed to seek help for their problem. Those that do try to get help often consult their GP for a solution, where certain lifestyle changes may be suggested including, weight loss, different sleeping positions, staying well hydrated and avoiding alcohol.
What many patients are unaware of is that dentists can provide a clinically proven solution to treat their snoring with a Mandibular Advancement Splint. The Sleepwell MAS is the most clinically proven for the treatment of snoring and mild to moderate OSA. Dr Asseel Al-Najjim has been trained to offer Sleepwell treatment.
